
Denne dødsalgen drepte 7,5 millioner fisk
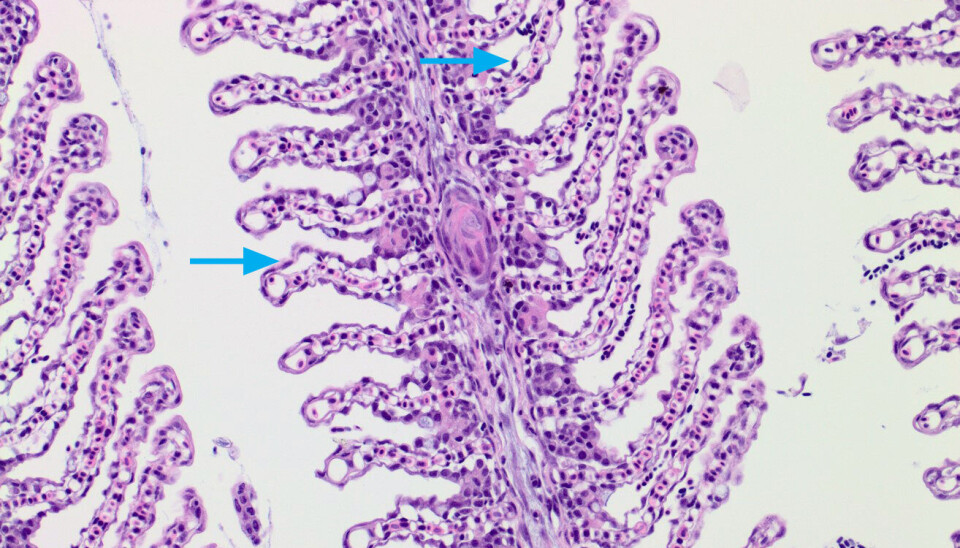
I mai – juni 2019 opplevde oppdrettere i Nord-Norge at laks i merdene plutselig døde. Samtidig var det en stor oppblomstring av algen Chrysochromulina leadbeateri i området. Fisken døde relativt raskt, og gjelleskader var den vanligste observasjonen, med få eller ingen forandringer på de indre organene. 7,5 millioner slakteklar fisk gikk tapt.
De første rapportene om fiskedød kom fra Astafjorden i Troms og Ofotfjorden i Nordland i midten av mai 2019 (Figur 1 og 2). Dødeligheten ble satt i sammenheng med en oppblomstring av algen C. leadbeateri (Figur 3) og antas å skyldes de observerte gjelleskadene (Figur 4). Oppblomstringen bredte seg til Vestfjorden og nordover til Troms i løpet av de påfølgende ukene. Algecelletallene ble målt opp til 4.5 x 107 celler/L.

Algeoppblomstringen pågikk til midten av juni og det ble registrert fiskedød i hele perioden. Under oppblomstringen døde til sammen 7,5 millioner (14 500 tonn) oppdrettslaks, noe som tilsvarer et direkte økonomisk tap på 850 millioner norske kroner, og et indirekte tap på mellom 2,1 og 2,5 milliarder. Ringvirkningene i oppdrettsnæringen var store. Dette er den mest omfattende fiskedøden forårsaket av giftige alger som noen gang er registrert i Norge eller Nord-Europa.
Tidligere episoder
Algeoppblomstringer med C. leadbeateri forårsaket også fiskedød i Nord-Norge i 1991, i 1998 og i 2008. I den største av disse algeoppblomstringene, i 1991, døde omtrent 740 tonn fisk, noe som var et stort tap tatt i betraktning størrelsen på oppdrettsnæringen i området på den tiden. Også andre algearter har forårsaket fiskedød i Norge. Blant disse finner vi arter innen slektene Prymnesium og Pseudochattonella. En av de første episodene som drepte store mengder både oppdrettsfisk og villfisk ble forårsaket av en stor oppblomstring av Prymnesium polylepis (tidligere navn er Chrysochromulina polylepis).

Oppblomstringen skjedde i mai-juni i 1988 i Skagerrak og Kattegat langs kysten av Norge, Sverige og Danmark. I tillegg gikk det hardt utover bunnlevende fauna langs Skagerrak-kysten. Som en følge av denne oppblomstringen ble det norske algeovervåkningsprogrammet (https:// algestatus.hi.no/) startet. Siden det har mer enn 30 arter Chrysochromulina blitt registrert i norske farvann.
Hvorfor er de fiskedrepende?
Det store spørsmålet er hvorfor disse algene dreper fisk? Et felles trekk ved mange fiskedrepende mikroalgearter ser ut til å være deres evne til å produsere polyketidliknende fettløselige forbindelser som kan virke lyserende på celler, dvs. at cellene sprekker på grunn av feil i ionebalansen. Polyketider er kjent for å kunne skade gjellevev hos fisk (nekrose), noe som resulterer i kvelning og død. For C. leadbeateri har det til nå ikke vært kjent hva som er giftig for fisk.

Hvordan har vi jobbet?
I prosjektet ToxANoWa har vi i et tett samarbeid mellom kjemikere, toksikologer, cellebiologer og algebiologer gjort det mulig å finne sammenhengen mellom algen C. leadbeateri og hvorfor fisken døde. Vi dyrket først opp algen i store mengder. Algemassen ble så ekstrahert i flere fraksjoner (Figur 6). Disse fraksjonene ble så testet ved å tilsette dem til dyrkede gjelleceller fra regnbueørret (Oncorhynchus mykiss) (cellelinjen RTgill-W1). Denne cellelinjen er godt karakterisert for å se på akutt toksisitet (OECD, 2021. Test nr. 249. Fish cell line acute toxicity). Her har vi brukt cellelinjen til å lete etter fiskedrepende toksiner i fraksjoner fra algekulturen.
Vi har studert både de fraksjonene som i forsøk dreper eller ikke dreper gjelleceller. Med kjemiske analysemetoder har vi klart å finne en ny gruppe kjemiske forbindelser. De nye forbindelsene likner tidligere kjente fiskedrepende algetoksiner, som f.eks. karlotoksiner. Dette er lange lineære polyhydroksylerte polyketider, som strukturelt likner stereolysiner rapportert fra en gruppe dinoflagellater. De gjellecelledrepende fraksjonene inneholder en hovedforbindelse og en rekke lignende varianter med forskjellige klorerings- og sulfateringsmønstre. Det betyr en helt ny familie av forbindelser, som vi har foreslått å gi navnet leadbeateriner.